
ENTRADA: 03/09/2016
FECHA DE NACIMIENTO: 11/08/2014
RAZA: CRUCE DE LABRADOR
SITUACIÓN: ACOGIDA
SALUD: Buena. Terminado el tratamiento contra la filaria.
SEXO: Macho
CARÁCTER: Tiene mucho miedo. Su recuperación es progresiva, pero lenta. Cuando coge confianza, es muy cariñoso.
HISTORIA:
En septiembre 2016 recibimos una llamada desesperada pidiendo ayuda. Había entrado Arco en la perrera de Jerez, con las dos patas del lado derecho «averiadas», y por consiguiente con riesgo de inminente sacrificio.
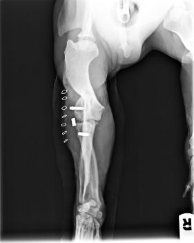
Enseguida nos hicimos cargo de él. Tras pasar una primera revisión veterinaria, decidimos trasladarlo a Madrid a una casa de acogida para tener una segunda opinión de un traumatólogo de nuestra confianza. El resultado fue el diagnóstico de luxación de codo en la pata delantera, y de fractura de huesos con luxación en la pata trasera. El problema es que estas lesiones tenían una antigüedad de unas 5 semanas, por lo que ya se había empezado a formar fibrosis y callo. Con todo ello se decidió dejar que la fractura siguiese su consolidación, y operar la luxación de codo, para intentar que recuperase completamente su funcionalidad.
Como se puede ver en las radiografías, con dos cirugías sobre la articulación, se consiguió la perfecta recolocación.
También tenía filaria, pero ya ha terminado el tratamiento. Dentro de unos meses se volverá a repetir el test para confirmar que ya ha eliminado todos los parásitos.
Pero el problema más grave era su recuperación psicológica. ARCO había sufrido lo inimaginable, y mostraba muchísimo miedo: incapaz de reaccionar ante cualquier estímulo, bloqueado por el miedo sin capacidad de reacción.
Se encuentra en acogida vitalicia. Si lo quieres apadrinar escríbenos a sosgolden@gmail.com





